دکتر سمیرا حاج حیدری متخصص ایمپلنت‌ دندان

دکتر سمیرا حاج حیدری ، یکی از نام‌آوران حوزه دندانپزشکی و متخصص ایمپلنت ‌های دندانی، با سابقه‌ای درخشان در ارائه خدمات درمانی و زیبایی، به عنوان یک پیشرو در این زمینه شناخته می‌شود. 

 

توضیحات

عنوان

 کلینیک دکتر سمیرا حاج حیدری

نام مرکز

ایمپلنت دندان، طراحی لبخند، لمینیت، جراحی لثه، ارتودنسی، پروتز، دندانپزشکی کودکان و

نوع خدمات

دکتر سمیرا حاج حیدری متخصص ایمپلنت‌ دندان

مؤسس/مدیر کلینیک

دارای مجوز رسمی از وزارت بهداشت / سازمان نظام پزشکی

مجوزها و اعتبارنامه‌ها

بهره‌مندی از تجهیزات مدرن: اسکنر دیجیتال، دستگاه CBCT، لیزردرمانی، ایمپلنت دیجیتال و

تجهیزات و تکنولوژی

بدون درد و خونریزی، نوبت‌دهی آنلاین، پرونده دیجیتال، رعایت کامل استریلیزاسیون، پشتیبانی بعد از درمان

ویژگی‌های متمایز

بزرگسالان، سالمندان، کودکان، بیماران بین‌المللی

بیماران هدف

کرج، گلشهر، بین درختی و چهارراه گلزار، نبش کوچه کوکب غربی، برج اسلام، طبقه 4، واحد9

موقعیت مکانی

02633555125

شماره تماس

 

معرفی دکتر سمیرا حاج حیدری متخصص ایمپلنت‌  

دکتر سمیرا حاج حیدری با تحصیلات عالی در دانشگاه‌های معتبر و کسب تجربه‌های بین‌المللی، توانسته است تکنیک‌های نوین و موثر را به کار گیرد. دکتر حاج حیدری با استفاده از فناوری‌های پیشرفته، به بیماران خود کمک می‌کند تا با اعتماد به نفس و لبخندی زیبا به زندگی ادامه دهند. عزم راسخ او در ارتقاء کیفیت خدمات درمانی، همواره مورد تحسین بیماران و همکاران قرار گرفته است.

در مطب دکتر حاج حیدری ، محیطی دلنشین و آرامش‌بخش به همراه تیمی مجرب و همدل، تجربه‌ای بی‌نظیر را برای بیماران فراهم کرده است. او به اهمیت ارتباط موثر با بیماران اعتقاد دارد و هر فرد را با دقت و توجه خاصی مورد ارزیابی قرار می‌دهد. برنامه‌ریزی دقیق درمان و پیگیری مداوم پس از آن، از ویژگی‌های بارز خدمات اوست. دکتر سمیرا حاج حیدری نه تنها به بهبود سلامت دندان‌ها می‌پردازد، بلکه به زیبایی و اعتماد به نفس بیمارانش نیز اهمیت می‌دهد و این امر او را به یکی از بهترین‌ها در حوزه خود تبدیل کرده است.

دکتر سمیرا حاج حیدری

تجربه و تخصص دکتر حاج حیدری 

دکتر سمیرا حاج حیدری ، متخصص ایمپلنت دندان، با بیش از یک دهه تجربه در این حوزه، به عنوان یکی از پیشروان عرصه دندانپزشکی شناخته می‌شود. ایشان تحصیلات خود را در بهترین دانشگاه‌های داخلی و خارجی به پایان رسانده و با انجام دوره‌های تخصصی متعدد در زمینه ایمپلنت، توانسته‌اند دانش و مهارت‌های خود را به روز نگه دارند. دکتر حاج حیدری به دلیل رویکرد دقیق و علمی خود در درمان بیماران، همواره مورد اعتماد مراجعین قرار گرفته و سابقه موفقیت‌های چشمگیری در ایمپلنت دندان‌ دارد.

در کنار تخصص بالای دکتر حاج حیدری، ایشان به اهمیت ارتباط موثر با بیماران نیز توجه ویژه‌ای دارند. با ایجاد فضایی آرام و دوستانه، ایشان به بیماران خود احساس راحتی داده و به سوالات و نگرانی‌های آن‌ها با دقت پاسخ می‌دهند. این رویکرد انسانی و حرفه‌ای، موجب جلب اعتماد بیماران و ایجاد روابط مثبت و پایدار با آن‌ها شده است. دکتر سمیرا حاج حیدری نه تنها به درمان مشکلات دندانی می‌پردازد، بلکه با آموزش و مشاوره‌های لازم، به بهبود سلامت دهان و دندان بیماران نیز اهمیت می‌دهد.

دلایل انتخاب دکتر سمیرا حاج حیدری متخصص ایمپلنت‌ دندان

دکتر سمیرا حاج حیدری به عنوان یکی از برجسته ترین متخصصان ایمپلنت دندان در کشور، به دلیل ترکیب دانش عمیق و تجربه عملی گسترده‌اش، انتخابی بی‌نظیر برای افرادی است که به دنبال بهبود سلامت دهان و زیبایی لبخند خود هستند. وی با تحصیلات عالیه در رشته دندانپزشکی و تخصص در ایمپلنت، به روزترین روش‌ها و تکنیک‌ها را در این زمینه به کار می‌گیرد. تعهد او به کیفیت و رضایت بیمار باعث شده که بسیاری از بیماران به او اعتماد کنند و نتایج شگفت‌انگیزی را تجربه کنند.

علاوه بر مهارت‌های بالینی، دکتر حاج حیدری با رویکردی انسانی و همدلانه به بیماران خود نزدیک می‌شود. او با دقت به نیازها و نگرانی‌های بیماران گوش می‌دهد و با ارائه مشاوره‌های شخصی سازی شده، احساس راحتی و اطمینان را در هر مرحله از درمان فراهم می‌آورد. این ویژگی‌ها، همراه با امکانات پیشرفته و محیطی دلپذیر در کلینیکش، تجربه‌ای منحصر به فرد را برای مراجعه‌کنندگان به ارمغان می‌آورد و باعث می‌شود که انتخاب او به عنوان متخصص ایمپلنت دندان، تصمیمی هوشمندانه و مطمئن باشد.

دکتر سمیرا حاج حیدری

 

نظرات بیماران دکتر حاج حیدری 

بیماران دکتر سمیرا حاج حیدری ، متخصص برجسته ایمپلنت دندان، همواره از تجربه مثبت خود در این کلینیک صحبت می‌کنند. آنان تأکید می‌کنند که دکتر حاج حیدری با دقت و حرفه‌ای‌گری بالا، به نیازهای هر بیمار گوش می‌دهد و به خوبی آن‌ها را درک می‌کند. این ارتباط نزدیک باعث می‌شود بیماران احساس راحتی کنند و با اعتماد به نفس بیشتری مراحل درمان را طی نمایند. بسیاری از آن‌ها از نتایج نهایی کار راضی هستند و بهبود کیفیت زندگی خود را پس از درمان، به وضوح احساس می‌کنند.

علاوه بر مهارت‌های فنی، بیماران از نگرش مثبت و صمیمی دکتر حاج حیدری نیز سخن می‌گویند. آن‌ها می‌گویند که او نه تنها یک پزشک ماهر، بلکه یک حامی و مشاور دلسوز نیز هست. این ویژگی‌ها سبب می‌شود که بیماران از فرایند درمان خود لذت ببرند و به‌طور مؤثری با چالش‌های مربوط به دندان‌های خود مقابله کنند. در نهایت، بسیاری از مراجعه‌کنندگان با رضایت کامل و لبخند بر لب، دکتر سمیرا حاج حیدری را به دوستان و خانواده خود معرفی می‌کنند، زیرا به خوبی از تأثیر مثبت درمان‌های او آگاهند.

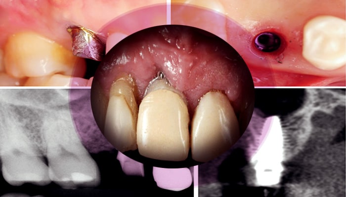
روش های نوین و جدید ایمپلنت‌ دندان توسط دکتر حاج حیدری 

دکتر سمیرا حاج حیدری ، متخصص ایمپلنت دندان، با بهره‌گیری از تکنولوژی‌های پیشرفته و متدهای نوین، فرایند ایمپلنت گذاری را به شیوه‌ای کارآمد و بی‌دردسر انجام می‌دهد. در مراحل ابتدایی، دکتر حاج حیدری با ارزیابی دقیق وضعیت دندان‌ها و لثه‌ها، طرح درمانی متناسب با نیازهای هر بیمار را تهیه می‌کند. سپس با استفاده از تصاویر رادیوگرافی و اسکن‌ های سه‌بعدی، محل دقیق قرارگیری ایمپلنت را مشخص کرده و با دقت و مهارت بالا، ایمپلنت را در استخوان فک قرار می‌دهد. این روش نه تنها تضمین‌ کننده موفقیت بالای درمان است، بلکه زمان بهبودی را نیز به حداقل می‌رساند.

پس از قرارگیری ایمپلنت، دکتر حاج حیدری به بیماران خود مشاوره‌های لازم را درباره مراقبت‌های پس از عمل ارائه می‌دهد. او بر اهمیت رعایت بهداشت دهان و دندان و مراجعه منظم به دندانپزشک تأکید دارد تا از موفقیت طولانی‌مدت ایمپلنت اطمینان حاصل شود. با توجه به تجربه و تخصص این متخصص، بیماران می‌توانند با خیالی آسوده به بهبود کیفیت زندگی خود از طریق ایمپلنت دندان امیدوار باشند. این روش نه تنها زیبایی طبیعی را به لبخند بازمی‌گرداند، بلکه عملکرد جویدن را نیز به حالت عادی خود برمی‌گرداند.

دکتر سمیرا حاج حیدری

ترتیب مراحل مختلف ایمپلنت‌ دندان توسط دکتر حاج حیدری  

ایمپلنت‌ دندان فرآیندی پیچیده و چند مرحله‌ای است که توسط دکتر سمیرا حاج حیدری، متخصص و دکتر ایمپلنت‌ دندان، به دقت انجام می‌گیرد. در مرحله نخست، بیمار به یک مشاوره جامع دعوت می‌شود تا نیازها و نگرانی‌های او بررسی شود. پس از تصویربرداری های لازم و ارزیابی وضعیت دهان و دندان، برنامه درمانی مناسب تنظیم می‌شود. در مرحله بعد، عمل جراحی برای قرار دادن ایمپلنت در فک انجام می‌شود. این مرحله به دقت و مهارت بالایی نیاز دارد و دکتر حاج حیدری با استفاده از تکنیک‌های پیشرفته، ایمپلنت را در محل مناسب قرار می‌دهد.

پس از قرارگیری ایمپلنت، دوره‌ای از بهبودی آغاز می‌شود که در خلال آن، استخوان فک به تدریج با ایمپلنت جوش می‌خورد و ثبات لازم فراهم می‌شود. پس از این مرحله، پروتز دندان، که می‌تواند تاج یا سایر انواع دندان‌های مصنوعی باشد، بر روی ایمپلنت نصب می‌شود. در نهایت، دکتر سمیرا حاج حیدری با پیگیری‌های منظم و مشاوره‌های لازم، اطمینان حاصل می‌کند که بیمار از نتیجه نهایی راضی باشد و عملکرد و زیبایی دندان‌ها به بهترین نحو ممکن حفظ شود.

سخن پایانی 

دکتر سمیرا حاج حیدری ، با تجربه و دانش فراوان خود در زمینه ایمپلنت‌های دندان، نه تنها به بهبود سلامت دهان و دندان بیماران کمک می‌کند، بلکه با خلق لبخند هایی زیبا و طبیعی، اعتماد به نفس آنها را نیز افزایش می‌دهد. او با استفاده از تکنولوژی‌های پیشرفته و روش های نوین، فرآیند درمان را به حداقل می‌رساند و تجربه‌ای راحت و بدون استرس برای بیماران خود فراهم می‌کند. دکتر حاج حیدری به عنوان یک متخصص متعهد، همواره در تلاش است تا با دقت و حساسیت، بهترین نتایج را برای هر مراجعه‌کننده به ارمغان آورد و به این ترتیب، نقش مهمی در ارتقاء کیفیت زندگی افراد ایفا می‌کند. 

مشتریان ما چه می گویند؟

لینک کوتاه : https://doctor-implant.com/?p=7578

مشاهده لیست قیمت ایمپلنت
+مشاوره و ویزیت رایگان
+تخفیف ویژه🔥