-
شنبه - چهارشنیه 9:00 الی 17:00
-
پاسخگویی 24 ساعته 02122893055
دکتر علی قمری متخصص ایمپلنت دندان
دکتر علی قمری ، یک متخصص برجسته در زمینه ایمپلنت دندان است که سالها تجربه و دانش عمیق خود را در این حوزه به کار گرفته است. ایشان با بهرهگیری از فناوریهای نوین و متدهای پیشرفته، به بیماران خود این امکان را میدهد که با خیال راحت و اعتماد کامل به درمانهای دندانی خود بپردازند.
|
|
آشنایی با دکتر علی قمری
دکتر علی قمری به دلیل دقت و حوصلهای که در کار خود دارد، نه تنها اعتماد مراجعین را جلب کرده، بلکه به عنوان یک مشاور قابل اعتماد در زمینه بهداشت دهان و دندان شناخته میشود.
در مطب دکتر قمری، خدماتی متنوع و جامع ارائه میشود که از مشاورههای اولیه تا مراحل پیچیده کاشت ایمپلنت را شامل میشود. ایشان به ارتباط نزدیک و صمیمی با بیماران اهمیت میدهد و با شنیدن نیازها و نگرانیهای آنها، برنامه درمانی مناسبی طراحی میکند. دکتر قمری با هدف ارتقاء کیفیت زندگی افراد و بازگرداندن لبخند به چهرههای آنان، به طور مداوم در حال بهروزرسانی دانش خود در این رشته است و این امر او را به یکی از پیشگامان این حوزه تبدیل کرده است.

تجربه و تحصیلات دکتر علی قمری متخصص ایمپلنت دندان
دکتر علی قمری ، با تحصیلات عالیه در زمینه دندانپزشکی، یکی از چهرههای برجسته و شناختهشده در حوزه ایمپلنتهای دندانی به شمار میآید. ایشان تحصیلات خود را در دانشگاه تهران آغاز کرده و با کسب مدرک دکترای دندانپزشکی، در ادامه به تکمیل دورههای تخصصی ایمپلنت در مراکز بینالمللی پرداخته است. این تجربههای آموزشی به او این امکان را داده است که با جدیدترین تکنیکها و فناوریهای روز دنیا در زمینه درمان های ایمپلنتی آشنا گردد و به عنوان یک متخصص پیشرو در این زمینه شناخته شود.
علاوه بر تحصیلات، دکتر قمری با سالها تجربه عملی در کلینیکهای معتبر، به درک عمیقی از نیازها و مشکلات بیماران دست یافته است. او با استفاده از مهارتهای خود و با تمرکز بر کیفیت درمان، توانسته است نتایج موفقیتآمیزی را برای مراجعین خود به ارمغان آورد. تعامل مثبت با بیماران و توجه به جزئیات در هر مرحله از درمان، از ویژگیهای بارز سبک کاری ایشان به شمار میروند که باعث ایجاد اعتماد و رضایت در مراجعین شده است.
دلایل انتخاب دکتر علی قمری متخصص ایمپلنت دندان
دکتر علی قمری ، به عنوان یک متخصص برجسته و دکتر ایمپلنت ، با سالها تجربه و تحصیلات معتبر در این حوزه، توانسته است اعتماد بسیاری از بیماران را جلب کند. مهارتهای فنی و دانش عمیق او در زمینه تکنیکهای پیشرفته ایمپلنت، این امکان را فراهم میآورد که هر بیمار با خیال راحت و اطمینان به وی مراجعه کند. دکتر قمری نه تنها به روزترین تجهیزات و فناوریها را در درمانهای خود به کار میگیرد، بلکه با رویکردی انسانی و دلپذیر به ارتباط با بیماران، تجربهای خوشایند و بدون استرس را برای آنان رقم میزند.
علاوه بر این، دکتر قمری به اهمیت مشاورههای دقیق و برنامهریزی های شخصی سازی شده پی برده و هر بیمار را به صورت منحصر به فرد مورد بررسی قرار میدهد. این توجه به جزئیات و نیازهای خاص هر فرد، موجب میشود تا نتایج درمانها به بهترین شکل ممکن حاصل گردد. او همچنین به طور مستمر در دورههای آموزشی و سمینارهای بینالمللی شرکت کرده و اطلاعات خود را در زمینه تکنیکهای نوین و روندهای روز دنیا بهروز میکند، که این امر به افزایش کیفیت خدمات او کمک شایانی میکند.

نگاهی به نظرات مثبت بیماران دکتر علی قمری
بیماران دکتر علی قمری ، متخصص ایمپلنت دندان، عموماً از تجربههای مثبت خود در این کلینیک سخن میگویند. بسیاری از آنان به دقت و مهارت دکتر در تشخیص و درمان مشکلات دندانی اشاره میکنند. این بیماران از فضای دوستانه و آرامشبخش کلینیک نیز رضایت دارند که به آنها احساس راحتی و امنیت میدهد. همچنین، برخورد محترمانه و حرفهای کادر درمانی موجب افزایش اعتماد بیماران به روند درمان میشود و این عامل به تنهایی میتواند تجربهای دلپذیر و مؤثر را رقم بزند.
علاوه بر این، نتیجه نهایی درمانها معمولاً فراتر از انتظارات بیماران بوده و به آنها لبخند و اعتماد به نفس جدیدی هدیه میدهد. بسیاری از بیماران از بهبود قابل توجه در کیفیت زندگی خود پس از دریافت خدمات دکتر قمری صحبت میکنند. این تحولات مثبت نه تنها به سلامت دندانها بلکه به روابط اجتماعی و روحیه کلی آنها نیز تاثیرگذار بوده است. به همین دلیل، بیماران به راحتی دکتر علی قمری را به دوستان و خانوادههای خود توصیه میکنند و این موضوع نشانگر رضایت بالای آنان از خدمات ارائهشده است.
برخی از روش های ایمپلنت دندان
ایمپلنتهای دندانی یکی از پیشرفتهترین روشها برای بازگرداندن زیبایی و عملکرد دندانها هستند. دکتر علی قمری ، متخصص ایمپلنت دندان، با استفاده از تکنیکهای نوین، فرآیند کاشت دندان را به یک تجربه راحت و موثر تبدیل میکند. او ابتدا با ارزیابی دقیق وضعیت دهان و دندان بیماران، طرح درمانی متناسب با نیازهای فردی هر بیمار را طراحی میکند. این ارزیابی شامل تصویربرداری های پیشرفته و مشاورههای شخصی سازی شده است تا بهترین نتایج ممکن حاصل شود.
یکی از روش های مورد استفاده توسط دکتر قمری، ایمپلنتهای تک مرحلهای است که در آن، عمل جراحی و نصب پایه ایمپلنت به صورت همزمان انجام میشود. این روش علاوه بر کاهش زمان درمان، به بهبود سریعتر روند بهبودی بیماران کمک میکند. همچنین، دکتر قمری با بهرهگیری از تکنولوژیهای مدرن مانند CAD/CAM و جراحی دیجیتال، دقت و کیفیت کار را به بالاترین سطح میرساند. این رویکردها تضمین میکنند که بیماران نه تنها به دندانهای زیبایی دست یابند، بلکه از راحتی و عملکرد طبیعی آنها نیز لذت ببرند.

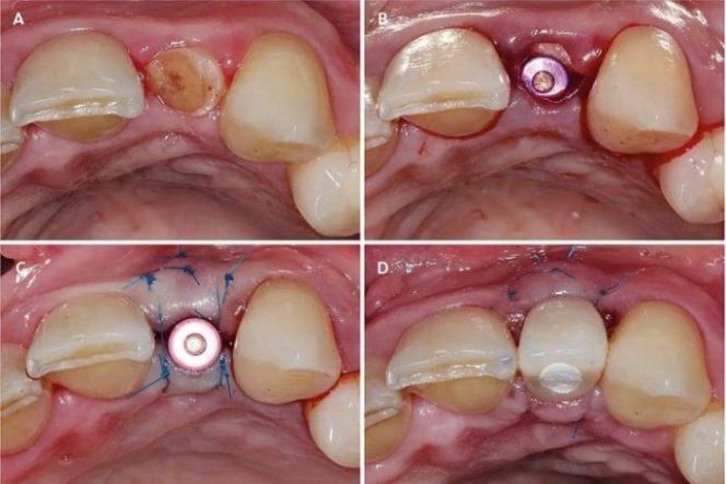
گام به کام ایمپلنت دندان توسط دکتر قمری
ایمپلنت دندان یک فرآیند پیچیده و دقیق است که به دقت و تخصص نیاز دارد. در ابتدا، دکتر علی قمری با یک معاینه جامع، وضعیت دهان و دندانهای بیمار را بررسی میکند تا بهترین برنامه درمانی را طراحی کند. با استفاده از تصاویر رادیوگرافی و مشاورههای لازم، تصمیمگیری درباره نیاز به ایمپلنت و نوع آن صورت میگیرد. پس از تعیین برنامه درمانی، مرحله جراحی آغاز میشود که در آن پایه ایمپلنت به فک بیمار وارد میشود. این مرحله به دقت و مهارت بالا نیاز دارد تا از بروز عوارض جلوگیری شود.
پس از قرار دادن ایمپلنت، یک دوره بهبود ضروری است که در آن استخوان فک به طور طبیعی به ایمپلنت جوش میخورد. این فرآیند ممکن است چندین ماه به طول بینجامد. در نهایت، دکتر قمری با نصب تاج دندان بر روی ایمپلنت، به بیمار این امکان را میدهد که از زیبایی و عملکرد طبیعی دندانهای خود بهرهمند شود. این مراحل، با هدف تضمین موفقیت و رضایت بیمار طراحی شدهاند و دکتر علی قمری همواره در کنار بیماران خود، به آنها راهنماییهای لازم را ارائه میدهد.
سخن پایانی
دکتر علی قمری ، متخصص برجسته ایمپلنت دندان، با سالها تجربه و دانش عمیق خود در این زمینه، به یکی از پیشگامان این حرفه تبدیل شده است. او با بهرهگیری از تکنولوژیهای نوین و متدهای پیشرفته، به بیماران خود این امکان را میدهد که لبخند زیبا و طبیعی خود را دوباره به دست آورند. تعهد او به کیفیت و دقت در هر مرحله از درمان، نشان دهندهی عشق و احترام او به حرفه اش است. دکتر قمری نه تنها به عنوان یک پزشک، بلکه به عنوان مشاوری دلسوز و حمایت گر در کنار بیماران خود قرار دارد و این ارتباط انسانی، تجربهای دلگرم کننده برای هر مراجعه کنندهای به ارمغان میآورد. در نهایت، او با پایبندی به اصول اخلاقی و علمی، به بهبود کیفیت زندگی افراد کمک شایانی میکند و در این مسیر، نقش مهمی در ارتقای سلامت دهان و دندان جامعه ایفا مینماید.
مشتریان ما چه می گویند؟
لینک کوتاه : https://doctor-implant.com/?p=7695

